你肯定知道洗牙是用来清除掉牙结石和牙菌斑,但你有可能不知道洗牙也可以治疗牙周炎等牙周疾病,往往洗牙后牙龈是不会再出血。一般牙周炎是不用拔牙,也不能轻易拔牙。

为什么说洗牙就能治疗牙周炎?
1、因为是致病菌刺激牙龈组织导致的牙周炎,而这些致病菌就来自于牙结石或者牙菌斑,早期牙周炎是可以洗牙做基础牙周治疗,有可能还得做牙周刮治。
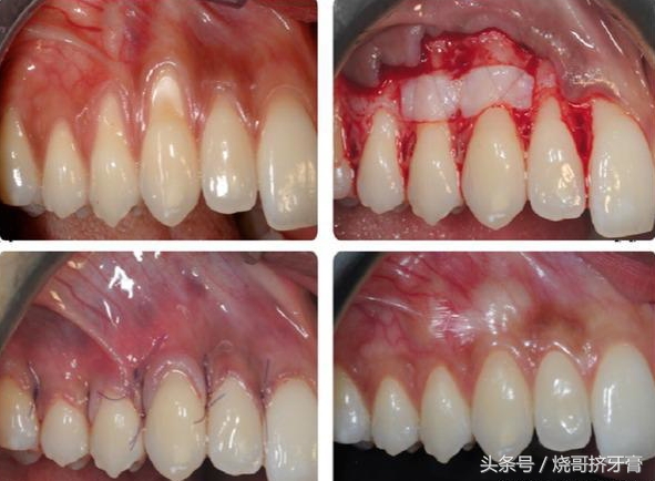
2、晚期牙周炎牙龈萎缩严重,两度以内松动是可以绑结邻牙一起进行洗牙,这种情况要小心翼翼,然后根据萎缩程度做牙周手术,比如:牙龈翻瓣术。

难道牙周炎松动也不必拔牙?
1、早期牙周炎可以做简单治疗,晚期牙周炎引起牙齿松动,一度松动和两度松动是不用拔除。
2、牙齿出现这3种情况才可拔牙:
一是阻生智齿长得不正或者有冠周炎等症状;
二是牙龈萎缩达到三度松动,这种牙齿保留不住;
三是被细菌龋坏成残根,严重蛀牙导致根部不完整甚至发黑。

牙周炎需要长时间治疗和维护,要注意牙周炎治疗恢复后,牙龈是长不回去原来的样子,得通过手术治疗,平时辅助治疗含有葡萄糖酸氯已定成分的漱口水也能够缓解牙周炎,并且杀菌消毒,比如KIN吉兰漱口水,所以牙周炎记得别错失治疗良机。
欢迎关注【烧哥挤牙膏】,烧哥来回答你的牙周炎问题~

最新留言